website traffic statistics

porte du sud radiologie

polyclinique de poitiers scanner cone beam et irm dedie

polyclinique de poitiers scanner cone beam et irm dedie

scanner faiencerie irm sm sud radiologie montereau banner 2 montereau centre d imagerie medicale du confluent 77130

scanner faiencerie irm sm sud radiologie montereau banner 2 montereau centre d imagerie medicale du confluent 77130

l actualite imsel ouverture d une irm a l hopital prive de l est lyonnais radiologie echograhie scanner irm a lyon

l actualite imsel ouverture d une irm a l hopital prive de l est lyonnais radiologie echograhie scanner irm a lyon

centre d imagerie medicale de la clinique du sud

centre d imagerie medicale de la clinique du sud

rhone clinique des portes du sud les urgences en greve a partir de lundi

rhone clinique des portes du sud les urgences en greve a partir de lundi

radiologie ghm les portes du sud centre d imagerie medicale a venissieux

radiologie ghm les portes du sud centre d imagerie medicale a venissieux

chalons en champagne centre imagerie medicale de saint remi a reims

chalons en champagne centre imagerie medicale de saint remi a reims

cedric ploton directeur des portes du sud on retrouvera peut etre un semblant de normalite en septembre expressions

cedric ploton directeur des portes du sud on retrouvera peut etre un semblant de normalite en septembre expressions

1

1

ghm les portes du sud

ghm les portes du sud

centre d imagerie medicale les portes du sud venissieux 69200 radiologie echograhie scanner irm a lyon

centre d imagerie medicale les portes du sud venissieux 69200 radiologie echograhie scanner irm a lyon

sante l irm est attendue en debut d annee prochaine

sante l irm est attendue en debut d annee prochaine

portes du sud les urgences toujours en greve expressions

portes du sud les urgences toujours en greve expressions

prenez rendez vous en ligne dans l un de nos 4 centres d imagerie medicale a lyon radiologie echograhie scanner irm a lyon

prenez rendez vous en ligne dans l un de nos 4 centres d imagerie medicale a lyon radiologie echograhie scanner irm a lyon

radiologie ganges la porte sud des cevennes herault

radiologie ganges la porte sud des cevennes herault

rhone clinique des portes du sud les urgences en greve a partir de lundi

rhone clinique des portes du sud les urgences en greve a partir de lundi

radiologie ghm les portes du sud centre d imagerie medicale a venissieux

radiologie ghm les portes du sud centre d imagerie medicale a venissieux

sante la clinique des portes du sud se dote d une irm osteo articulaire

sante la clinique des portes du sud se dote d une irm osteo articulaire

imagerie medicale sud est lyonnais venissieux radiologue adresse

imagerie medicale sud est lyonnais venissieux radiologue adresse

imagerie medicale sud est lyonnais saint priest radiologue prendre rendez vous adresse

imagerie medicale sud est lyonnais saint priest radiologue prendre rendez vous adresse

centre d imagerie medicale les portes du sud venissieux 69200 radiologie echograhie scanner irm a lyon

centre d imagerie medicale les portes du sud venissieux 69200 radiologie echograhie scanner irm a lyon

cabinet d imagerie medicale pole sante sud vendee imagerie medicale fontenay le comte

cabinet d imagerie medicale pole sante sud vendee imagerie medicale fontenay le comte

centre d imagerie medicale les portes du sud venissieux 69200 radiologie echograhie scanner irm a lyon

centre d imagerie medicale les portes du sud venissieux 69200 radiologie echograhie scanner irm a lyon

mammographie tomosynthese radiologie imagerie medicale croix du sud

mammographie tomosynthese radiologie imagerie medicale croix du sud

realisez vos scanners et vos irm avec imao sur amiens imao

realisez vos scanners et vos irm avec imao sur amiens imao

imagerie medicale chsf centre hospitalier sud francilien

imagerie medicale chsf centre hospitalier sud francilien

le mans centre etoile jacobins maine image sante

le mans centre etoile jacobins maine image sante

portes du sud les urgences en greve illimitee des lundi expressions

portes du sud les urgences en greve illimitee des lundi expressions

radiologie interventionnelle chsf centre hospitalier sud francilien

radiologie interventionnelle chsf centre hospitalier sud francilien

groupe hospitalier les portes du sud ariane signaletique signaletique interieure exterieure modulex brand on digital

groupe hospitalier les portes du sud ariane signaletique signaletique interieure exterieure modulex brand on digital

imagerie medicale du sud est lyonnais ghm les portes du sud

imagerie medicale du sud est lyonnais ghm les portes du sud

centre d imagerie medicale les portes du sud venissieux 69200 radiologie echograhie scanner irm a lyon

centre d imagerie medicale les portes du sud venissieux 69200 radiologie echograhie scanner irm a lyon

faire une demande de rendez vous radio irm gerland fondation dispensaire general de lyon

faire une demande de rendez vous radio irm gerland fondation dispensaire general de lyon

radiologie sidi maarouf a 640m de la porte sud de casanearshore nearcasashore

radiologie sidi maarouf a 640m de la porte sud de casanearshore nearcasashore

bienvenue sur le site radiologie hazebrouck radiologie hazebrouck fr

bienvenue sur le site radiologie hazebrouck radiologie hazebrouck fr

imagerie medicale du sud est lyonnais ghm les portes du sud

imagerie medicale du sud est lyonnais ghm les portes du sud

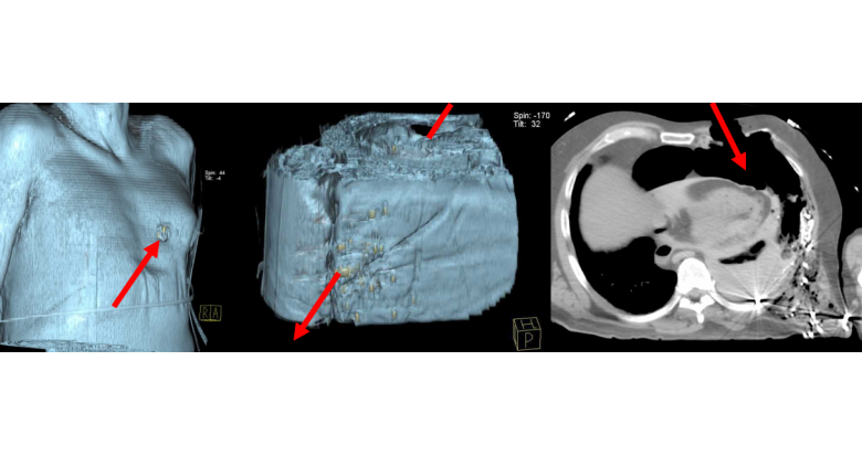
le role du manipulateur en imagerie forensique sfr e bulletin

le role du manipulateur en imagerie forensique sfr e bulletin

le mans pole sante sud maine image sante

le mans pole sante sud maine image sante

imagerie medicale du sud est lyonnais ghm les portes du sud

imagerie medicale du sud est lyonnais ghm les portes du sud

les portes du sud etendent leur activite expressions

les portes du sud etendent leur activite expressions